2106665044 Δερβανακίων 30 [ ΑΤΤΙΚΗ ΙΑΤΡΙΚΗ ], Παλλήνη costapan@hotmail.com

Ανακαλύψτε το μέλλον της διάγνωσης γονιμότητας σε ένα μόνο ραντεβού!

Ανακαλύψτε το μέλλον της διάγνωσης γονιμότητας σε ένα μόνο ραντεβού!
 
Ανακαλύψτε το μέλλον της διάγνωσης γονιμότητας σε ένα μόνο ραντεβού!
 
Πέρασαν οι μέρες των πολλαπλών ραντεβού για διάφορες εξετάσεις γονιμότητας. Στο πρωτοποριακό μας κέντρο, για πρώτη φορά στην Ελλάδα, προσφέρουμε ολόκληρη τη διάγνωση γονιμότητας σε μία μόνο, ολοκληρωμένη συνεδρία , εξοικονομώντας χρόνο, μειώνοντας το άγχος και παρέχοντας σαφείς, τεκμηριωμένες απαντήσεις για το ζευγάρι.

Η υπηρεσία αυτή είναι μοναδική στην Ελλάδα, καθώς συνδυάζει 3 διαγνωστικές εξετάσεις :

1] Υπερηχογραφική μελέτη Επιπέδου 3: Ανώτατο επίπεδο υπερηχογραφικής επάρκειας, που περιλαμβάνει τρισδιάστατη απεικόνιση, αγγειακή αξιολόγηση, λεπτομερή εκτίμηση τραχήλου, ενδομητρίου, μυομητρίου, ωοθηκών και σαλπίγγων.

Εξεταστικός χώρος στο κέντρο μας
 

 

 
Εξεταστικός χώρος
Υπερηχογραφική μονάδα
 
Υπερηχογραφική Μονάδα
Εικόνα τρισδιάστατου υπερήχου με εύρεση ινομυώματος συγκεκριμένες μετρήσεις που είναι απαραίτητες στον προεγχειρητικό έλεγχο
 
Τρισδιάστατος Υπέρηχος
 
 

 

 
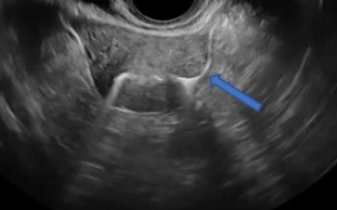
2] Υπερηχογραφική σαλπιγγογραφία HYFOSY : Διασφαλίζει τη διαπερατότητα των σαλπίγγων και εντοπίζει τυχόν προβλήματα, με χρήση υπερηχογενών σκιαγραφικών και τρισδιάστατης απεικόνισης.
 
HYFOSY
Παράδειγμα Υπερηχογραφικής σαλπιγγογραφίας HYFOSY βέλος : όπου φαίνεται διαπερατότητα, υπερηχογενές σκιαγραφικό στην αριστερή σάλπιγγα με ροή
 
HYFOSY 3D
Παράδειγμα Υπερηχογραφικής σαλπιγγογραφίας HYFOSY με τρισδιάστατη απεικόνιση ενδομητρικής κοιλότητας και σαλπιγγικής διαπερατότητας
 
3] Διαγνωστική Υστεροσκόπηση Γραφείου (Office Hysteroscopy): Ελάχιστα επεμβατική, χωρίς πόνο ή αναισθησία, επιτρέπει την άμεση διάγνωση και αντιμετώπιση προβλημάτων όπως συμφύσεις ή μικροπολύποδες, χωρίς νοσοκομειακή εισαγωγή.
 
Υστεροσκοπική Μονάδα
Υστεροσκοπική μονάδα ( office hysteroscopy )
 
 

 

 
Η ολοκληρωμένη αυτή προσέγγιση είναι ιδανική για ζευγάρια που μένουν μακριά, σε απομακρυσμένα νησιά ή στο εξωτερικό , καθώς μπορούν να εκτελέσουν όλες τις απαραίτητες εξετάσεις σε μία επίσκεψη, εξοικονομώντας χρόνο και μειώνοντας το άγχος.

Ιδιαίτερη σημασία έχει για γυναίκες που επιθυμούν κρυοσυντήρηση ωαρίων , καθώς είναι κρίσιμο να γνωρίζουν σε πρώιμο στάδιο ότι τα αναπαραγωγικά όργανα λειτουργούν φυσιολογικά ή να αντιμετωπιστούν τυχόν μικροπροβλήματα πριν αυτά εξελιχθούν σε σοβαρά προβλήματα γονιμότητας. Με αυτόν τον τρόπο, η διαδικασία γίνεται πιο ασφαλής, αποτελεσματική και προγραμματισμένη, χωρίς να χάνεται χρόνος από τη γονιμοποιητική ικανότητα των ωοθηκών ή να δημιουργούνται μικροπαθολογίες που θα μπορούσαν να επηρεάσουν το μέλλον της τεκνοποίησης.

Κατά τη διάρκεια της συνεδρίας, αξιολογούνται και οι δύο σύντροφοι, συμπεριλαμβανομένων των ορμονικών επιπέδων και του σπερμογραφήματος, και παρέχεται πλήρης διαβούλευση για τους πιθανούς λόγους υπογονιμότητας, με σαφείς προτάσεις θεραπείας ή παρακολούθησης.

Ανακαλύψτε την καινοτομία, την ακρίβεια και την ολοκληρωμένη φροντίδα στην υπογονιμότητα – όλα σε ένα ραντεβού, με την τεχνογνωσία του Δρ Κώστα Παναγιωτίδη .

Για περισσότερες πληροφορίες ή ραντεβού, επικοινωνήστε με τη γραμματεία της Αττικής Ιατρικής, Δερβενακίων 30, Παλλήνη, Αττικής, 15351, στα τηλέφωνα 210 666 8610 ή 201 666 5044, και για επείγοντα θέματα στο κινητό 690 793 5375.
 

 

Πίσω