2106665044 Δερβανακίων 30 [ ΑΤΤΙΚΗ ΙΑΤΡΙΚΗ ], Παλλήνη costapan@hotmail.com

Υπερηχογραφική Σαλπιγγογραφία (HYFOSY): Η Πρωτοποριακή Μέθοδος για τον Ακριβή Έλεγχο Διαβατότητας Σαλπίγγων

Υπερηχογραφική Σαλπιγγογραφία (HYFOSY): Η Πρωτοποριακή Μέθοδος για τον Ακριβή Έλεγχο Διαβατότητας Σαλπίγγων
 
Υπερηχογραφική Σαλπιγγογραφία (HYFOSY)
Η Πρωτοποριακή Μέθοδος για τον Ακριβή Έλεγχο Διαβατότητας Σαλπίγγων

 
Η Υπερηχογραφική Σαλπιγγογραφία (HYFOSY) αποτελεί σήμερα μία από τις πιο σύγχρονες, ασφαλείς και άνετες διαγνωστικές εξετάσεις για τον έλεγχο της διαβατότητας των σαλπίγγων , ένα από τα πιο κρίσιμα βήματα στη διερεύνηση υπογονιμότητας.

Στο ιατρείο μας, η υπερηχογραφική σαλπιγγογραφία εκτελείται με προηγμένο υπερηχογράφημα επιπέδου Level III — υψηλού επιπέδου υπερηχογραφική αξιολόγηση με τρισδιάστατη απεικόνιση και Doppler-triplex , που προσφέρει σημαντικά περισσότερες πληροφορίες πριν καν εγχυθεί το σκιαγραφικό μέσο.

Αυτή η εξελιγμένη προσέγγιση , αποτέλεσμα συνεχούς εμπειρίας και έρευνας, αυξάνει την ακρίβεια της διάγνωσης και βελτιώνει δραματικά τη διαγνωστική αξία της HYFOSY.
 

 

 
10 Λόγοι για να πραγματοποιήσετε HYFOSY στο ιατρείο μας
- Προηγμένη και λεπτομερής διακολπική εξέταση (Level III) με 3D και Doppler-triplex, που αποκαλύπτει περισσότερες παραμέτρους από το υπερηχογράφημα απλής διαβατότητας.
- Συνδυασμός δύο εξετάσεων σε μία συνεδρία (υπερηχογράφημα + σαλπιγγογραφία) — ιδανικό για αίτηση σε ΕΟΠΥ/φαρμακευτική επιδότηση.
- Χωρίς καθυστερήσεις ή πολλά ραντεβού , μειώνοντας αισθητά τον χρόνο και το άγχος για την ασθενή.
- Φιλική για την ασθενή — πολύ λιγότερη δυσφορία και πόνος σε σχέση με ακτινολογικές μεθόδους.
- Ο προηγμένος υπερηχογραφικός έλεγχος πριν την έγχυση παρέχει πλήρη εικόνα μήτρας, τραχήλου, ωοθηκών και σαλπίγγων για εξατομικευμένη θεραπευτική καθοδήγηση.
- Άμεση μεταφορά αποτελεσμάτων στον θεράποντα ιατρό με πλήρη αναφορά και εικόνες.
- Δυνατότητα εξέτασης χωρίς παραπεμπτικό ιατρού , με πρόταση θεραπευτικού πλάνου.
- Περισσότερο από 15% των γυναικών με ανεξήγητη υπογονιμότητα αναφέρουν φυσική σύλληψη μέσα σε 6–12 μήνες μετά το τεστ.
- Η εξέταση γίνεται σε άνετο και φιλικό περιβάλλον , ειδικά διαμορφωμένο για να μειώνει το άγχος και την ταλαιπωρία.
- Με την ειδική εκτίμηση του τραχήλου εντοπίζονται ανωμαλίες που μπορεί να επηρεάσουν μελλοντικές διαδικασίες (π.χ. δυσκολία καθετηριασμού στην εμβρυομεταφορά).
 

 

 
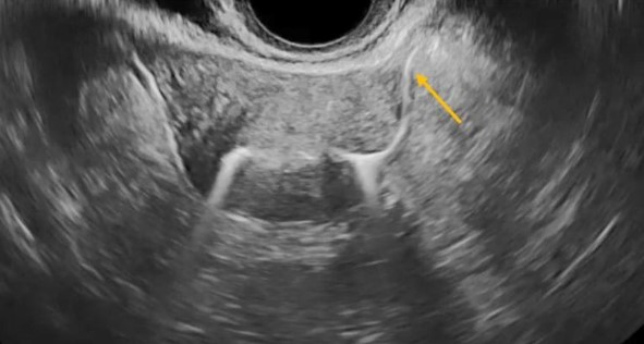
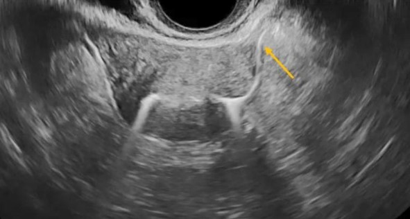
Υπερηχογραφική Σαλπιγγογραφία
Παράδειγμα υπερηχογραφικής σαλπιγγογραφίας : Διμερής διαπερατότητα HYFOSY με ExEm® Foam – φαίνεται καθαρά η ροή από την αριστερή σάλπιγγα (κίτρινο βέλος: έντονο λευκό σήμα σκιαγραφικού).
 

 

 
10 Λόγοι για τους Γενικούς Ιατρούς & Ειδικούς να παραπέμπουν ασθενείς στο ιατρείο μας
- Πιστοποιημένη και πλήρης γνωμάτευση για υπερηχογράφημα και HYFOSY, με εικόνες και αναλυτικά ευρήματα.
- Επιβεβαίωση υπερηχογραφικών ευρημάτων και δυνατότητα δεύτερης γνώμης σε πιο σύνθετα περιστατικά.
- Αξιολόγηση τραχήλου και Mock ET — κρίσιμη πριν από τεχνικές υποβοηθούμενης αναπαραγωγής.
- Διερεύνηση αδενωμύωσης, ενδομητρίωσης και άλλων πολύπλοκων παθήσεων που μπορεί να συνυπάρχουν.
- Έλεγχος σαλπιγγικής διαβατότητας μετά από χειρουργικές επεμβάσεις — ινομυώματα, υστεροσκοπήσεις, επέμβαση εξωμητρίου κ.λπ.
- Προενχειρητικός πλήρης έλεγχος πριν από γυναικολογικές επεμβάσεις.
- Προηγμένη υπερηχογραφική τεχνολογία : 3D + Doppler-triplex + color power κατά περίπτωση.
- Λιγότερη ταλαιπωρία των ασθενών : μόνο μία επίσκεψη, χωρίς επιπλέον καθυστερήσεις.
- Άμεση και αποτελεσματική επικοινωνία με τον παραπέμποντα ιατρό για γρήγορη λήψη αποφάσεων.
- Η εξέταση παρέχει ολοκληρωμένη και αξιόπιστη διαγνωστική πληροφορία , που ενισχύει το θεραπευτικό πλάνο.
 

 

 
Η HYFOSY στο ιατρείο του Dr. Costas Panayotidis προσφέρει μια πλήρη, ασφαλή και άνετη εμπειρία αξιολόγησης γονιμότητας , μειώνει το άγχος και τις καθυστερήσεις, ενώ ταυτόχρονα ενισχύει την αποτελεσματικότητα των υποβοηθούμενων τεχνικών αναπαραγωγής.

Η εξέλιξη της τεχνικής και η συμμετοχή του Δρ Παναγιωτίδη σε επιστημονική έρευνα και δημοσιεύσεις καθιστούν τη μέθοδο πρωτοποριακή και τεκμηριωμένη .

Στα παρακάτω YouTube video link μπορείτε να δείτε 2 παραδείγματα εξέτασης :
το πρώτο δείχνει υπερηχογραφική εξέταση αιχμής πριν την έκχυση αφρού- σκιαγραφικού  LINK
και το δεύτερο παράδειγμα δείχνει διπλή διαπερατότητα με τεχνική HYFOSY,  LINK

Τέλος μπορείτε να διαβάσετε περισσότερα στο πρόσφατο του Κώστα Παναγιωτίδη
Costas Panayotidis. Comprehensive Systematic Review of Hysterosalpingo-Contrast Sonography (HyCoSy) and Hysterosalpingo-Foam Sonography (HyFoSy. Armenian Journal of Health & Medical Sciences IV(2):47-53.2024 το οποιο μπορείτε να κατεβάσετε δωρεάν από τη σελίδα μου

LINK

Επικοινωνήστε μαζί μας για ραντεβού ή περισσότερες πληροφορίες και ανακαλύψτε την επόμενη γενιά διάγνωσης υπογονιμότητας στην Ελλάδα.
 

 

Πίσω